1. Răng lung lay có thật sự bình thường?
Nhiều người trung niên bắt đầu nhận thấy răng mình lung lay, đặc biệt khi ăn nhai thức ăn cứng. Họ thường cho rằng đây là biểu hiện tự nhiên của tuổi tác, hoặc đơn giản chỉ vì nhai mạnh quá. Thực tế, răng lung lay không bao giờ là dấu hiệu bình thường. Đây thường là tín hiệu cảnh báo bệnh lý răng miệng nghiêm trọng như viêm nha chu, viêm nướu mãn tính, hoặc cũng có thể là biểu hiện của các bệnh toàn thân như loãng xương, tiểu đường.
Nếu coi nhẹ, tình trạng lung lay sẽ ngày càng tiến triển: từ ê buốt khi ăn nhai, đến mất răng hàng loạt, kéo theo biến chứng nguy hiểm liên quan đến tim mạch, huyết áp hay đường huyết. Vì vậy, khi phát hiện răng lung lay, bạn cần xem đó như một “tín hiệu SOS” mà cơ thể gửi đi, đòi hỏi phải thăm khám kịp thời để tìm nguyên nhân và có giải pháp điều trị phù hợp.

2. Nguyên nhân phổ biến khiến răng lung lay
Để điều trị răng lung lay hiệu quả, việc quan trọng nhất là xác định đúng nguyên nhân gốc rễ. Mỗi nguyên nhân sẽ dẫn đến cơ chế bệnh lý khác nhau và cần giải pháp riêng biệt. Dưới đây là những tác nhân thường gặp:
- Viêm nha chu – thủ phạm hàng đầu
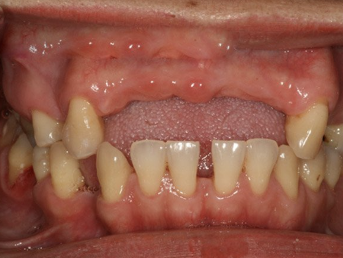
Hơn 70% trường hợp răng lung lay ở người trưởng thành xuất phát từ viêm nha chu. Vi khuẩn tích tụ trong mảng bám và cao răng phá hủy mô nướu, làm tiêu xương ổ răng – vốn là “nền móng” giữ răng. Khi xương tiêu, răng mất chỗ bám chắc, lung lay dần và cuối cùng là rụng. Đây là nguyên nhân nguy hiểm vì diễn tiến âm thầm, nhiều người chỉ phát hiện khi răng đã lung lay rõ rệt.

Viêm nha chu khi răng lung lay - Loãng xương – xương hàm yếu đi
Ở người trung niên và cao tuổi, đặc biệt phụ nữ sau mãn kinh, mật độ xương suy giảm rõ rệt. Khi xương hàm không còn chắc khỏe, răng cũng không được neo giữ ổn định. Tình trạng này thường đi kèm đau lưng, gù cột sống, nhưng ít ai nghĩ rằng nó cũng là nguyên nhân răng lung lay.

Bệnh loãng xương nghiêm trọng - Bệnh tiểu đường – vòng xoáy nguy hiểm
Người mắc tiểu đường có hệ miễn dịch suy yếu, dễ nhiễm trùng. Viêm nướu, nha chu ở nhóm này tiến triển nhanh hơn, khiến răng lung lay nặng chỉ trong thời gian ngắn. Ngược lại, viêm nha chu làm đường huyết khó kiểm soát, tạo thành vòng luẩn quẩn nguy hiểm cho cả răng miệng lẫn sức khỏe toàn thân - Thói quen xấu & vệ sinh răng kém
Hút thuốc lá làm giảm lưu lượng máu đến nướu, đẩy nhanh quá trình tiêu xương. Nghiến răng khi ngủ tạo áp lực quá mức lên dây chằng nha chu, khiến răng dễ lung lay. Thêm vào đó, chải răng sai cách hoặc bỏ qua việc lấy cao răng định kỳ khiến vi khuẩn tích tụ, làm răng mất đi sự vững chắc. - Chấn thương, tai nạn
Các va chạm trong thể thao, tai nạn hoặc thậm chí thói quen cắn vật cứng đều có thể làm răng lung lay. Nếu không được cố định và điều trị kịp thời, răng có nguy cơ mất vĩnh viễn.
Như vậy, răng lung lay không chỉ đến từ “tuổi tác” mà là kết quả của nhiều yếu tố bệnh lý và thói quen sống. Hiểu đúng nguyên nhân sẽ giúp bác sĩ Nha khoa Vạn Hạnh – Long Xuyên đưa ra phác đồ cá nhân hóa, giải quyết tận gốc vấn đề thay vì chỉ điều trị triệu chứng.
3. Răng lung lay nguy hiểm như thế nào?
Không ít người chủ quan nghĩ rằng răng lung lay chỉ gây khó nhai và ê buốt nhẹ. Nhưng thực tế, đây là biểu hiện của một quá trình bệnh lý phức tạp và hậu quả nặng nề hơn nhiều:
- Nguy cơ mất răng hàng loạt
Khi một chiếc răng lung lay do viêm nha chu, nghĩa là phần xương nâng đỡ đã bị phá hủy. Xương mất đi sẽ kéo theo sự suy yếu của cả vùng răng xung quanh. Chỉ cần một răng lung lay, cả cụm răng có thể lần lượt mất chỗ bám và rụng dần.

Nguy cơ mất răng hàng loạt - Liên quan đến bệnh tim mạch
Vi khuẩn từ túi nha chu có thể xâm nhập vào dòng máu, gây viêm nội tâm mạc hoặc thúc đẩy xơ vữa động mạch. Các nghiên cứu cho thấy người bị nha chu nặng có nguy cơ mắc bệnh tim cao gấp 2–3 lần. Răng lung lay, vì thế, không chỉ là vấn đề nha khoa mà còn là yếu tố nguy cơ tim mạch. - Làm trầm trọng bệnh tiểu đường
Nhiễm trùng nha chu khiến việc kiểm soát đường huyết trở nên khó khăn. Người tiểu đường có răng lung lay thường dễ đối diện với biến chứng toàn thân như suy thận, mù lòa, bệnh tim mạch hơn so với bệnh nhân kiểm soát nha chu tốt. - Tăng nguy cơ đột quỵ
Vi khuẩn từ nha chu và răng lung lay có thể gây viêm mạch máu não, làm tăng khả năng tắc nghẽn, dẫn đến đột quỵ bất ngờ. Đây là mối liên hệ được nhiều nghiên cứu y học hiện đại khẳng định. - Suy giảm chất lượng sống
Răng lung lay làm bệnh nhân ăn nhai khó khăn, phải kiêng nhiều món ăn. Nụ cười khuyết thiếu khiến họ tự ti, hạn chế giao tiếp. Về lâu dài, điều này ảnh hưởng đến công việc, các mối quan hệ xã hội và cả sức khỏe tinh thần.
Do đó răng lung lay không chỉ “lung lay một chiếc răng” mà là lung lay cả sức khỏe tổng thể. Đây chính là lời cảnh báo mạnh mẽ rằng bạn cần đi khám sớm thay vì chờ đến khi răng rụng hẳn mới xử lý.

4. Giải pháp điều trị hiệu quả tại Nha khoa Vạn Hạnh – Long Xuyên
Tại Nha khoa Vạn Hạnh – Long Xuyên, phác đồ điều trị răng lung lay được xây dựng khoa học, gồm 3 bước:
- Khám & chẩn đoán: Bác sĩ sẽ kiểm tra nha chu, đo độ lung lay, chụp phim X-quang 3D để đánh giá xương hàm. Với trường hợp có bệnh toàn thân (tiểu đường, loãng xương), bác sĩ phối hợp tư vấn đa chuyên khoa.
- Điều trị chuyên sâu:
- Cạo vôi, xử lý nha chu bằng máy siêu âm & laser.
- Nẹp cố định răng lung lay mức độ vừa.
- Ghép xương hoặc tái tạo nướu khi xương ổ răng tiêu nhiều.
- Cấy Implant trong trường hợp răng không thể giữ.
- Phòng ngừa & duy trì: Hướng dẫn chăm sóc răng miệng, lấy cao răng định kỳ, bổ sung dinh dưỡng giàu canxi, vitamin D và thay đổi thói quen xấu như hút thuốc, nghiến răng.
Điểm mạnh của Vạn Hạnh là sự kết hợp giữa bác sĩ giàu kinh nghiệm, trang thiết bị hiện đại và quy trình chăm sóc tận tâm. Nhờ đó, bệnh nhân không chỉ được điều trị triệu chứng, mà còn giải quyết tận gốc nguyên nhân, khôi phục khả năng ăn nhai và ngăn ngừa tái phát lâu dài.
5. Giải pháp điều trị răng lung lay hiệu quả tại Nha khoa Vạn Hạnh – Long Xuyên
Điều trị răng lung lay không chỉ nhằm giữ răng chắc lại, mà còn là ngăn chặn chuỗi biến chứng toàn thân liên quan đến tim mạch, tiểu đường hay loãng xương. Tại Nha khoa Vạn Hạnh – Long Xuyên, bác sĩ áp dụng quy trình 3 bước rõ ràng: Khám – Điều trị chuyên sâu – Duy trì lâu dài.
Bước 1: Khám và chẩn đoán nguyên nhân
- Khám nha chu, đo độ lung lay, chụp X-quang hoặc CT Cone Beam 3D để đánh giá tình trạng xương ổ răng.
- Phân tích nguyên nhân gốc: viêm nha chu, tiểu đường, loãng xương, thói quen xấu hay chấn thương.
- Khi cần, phối hợp với bác sĩ chuyên khoa nội tiết hoặc xương khớp để có cái nhìn toàn diện.
Bước 2: Điều trị chuyên sâu
Tùy vào mức độ lung lay và nguyên nhân, bác sĩ xây dựng phác đồ cá nhân hóa:
- Điều trị nha chu triệt để:
Loại bỏ cao răng, mảng bám bằng máy siêu âm; làm sạch túi nha chu, kết hợp laser để diệt vi khuẩn và giảm viêm. Đây là giải pháp quan trọng giúp ngăn tiêu xương và tái lập môi trường nướu khỏe mạnh. - Nẹp răng cố định:
Khi răng lung lay mức độ vừa, bác sĩ sử dụng dây/nẹp composite chuyên dụng gắn vào mặt trong hoặc mặt ngoài để liên kết các răng. Phương pháp này giúp chia sẻ lực nhai, ổn định răng trong khi mô quanh răng hồi phục. - Ghép xương & tái tạo mô nướu:
Nếu tiêu xương ổ răng nặng, bác sĩ có thể chỉ định ghép xương nhân tạo hoặc kết hợp màng tái sinh mô (GTR). Kỹ thuật này giúp tái tạo phần xương và nướu đã mất, tăng độ vững chắc cho răng. - Nhổ răng & cấy ghép Implant:
Với răng lung lay quá nặng, không thể giữ, bác sĩ sẽ chỉ định nhổ và cấy trụ Implant. Implant tích hợp trực tiếp vào xương, thay thế chân răng thật, ngăn tiêu xương và khôi phục chức năng ăn nhai chắc khỏe, thẩm mỹ tự nhiên như răng thật.
Bước 3: Phòng ngừa & duy trì kết quả
- Hướng dẫn chải răng chuẩn, sử dụng chỉ nha khoa và súc miệng kháng khuẩn.
- Tái khám định kỳ 3–6 tháng/lần để kiểm tra nha chu, đo độ lung lay và làm sạch chuyên nghiệp.
- Tư vấn dinh dưỡng bổ sung canxi, vitamin D; hỗ trợ bỏ thuốc lá, kiểm soát tiểu đường và điều chỉnh thói quen nghiến răng.
Điểm khác biệt tại Nha khoa Vạn Hạnh – Long Xuyên là sự kết hợp giữa bác sĩ nha chu và bác sĩ phục hình chuyên sâu, cùng hệ thống trang thiết bị hiện đại như máy CT Cone Beam 3D, laser nha chu, labo chế tác răng sứ tại chỗ. Nhờ vậy, mỗi bệnh nhân không chỉ được điều trị triệu chứng mà còn giải quyết tận gốc nguyên nhân, phục hồi độ vững chắc của răng và duy trì kết quả lâu dài.
THÔNG TIN LIÊN HỆ
NHA KHOA VẠN HẠNH – SÀI GÒN, CHI NHÁNH LONG XUYÊN
Địa chỉ: 18-20-22-24 Nguyễn Thị Minh Khai, P. Mỹ Long, TP. Long Xuyên, An Giang
Hotline:
Fanpage Facebook:
Inbox để được tư vấn miễn phí và đặt lịch khám sớm!
