DÁN SỨ VENEER

Dán sứ Veneer là gì?

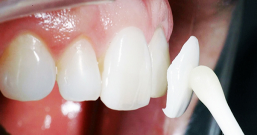
Dán sứ Veneer là lớp sứ mỏng từ 0.3 đến 0,5mm, được chế tác bởi hệ thống kỹ thuật y khoa hiện đại CAD/CAM theo hình bề mặt răng, được cố định lên bề mặt răng bằng vật liệu kết dính nha khoa chuyên dụng.

Do cấu trúc mặt sứ mỏng nên khi thực hiện không cần mài nhỏ răng mà chỉ cần xử lý một chút ở bề mặt răng, từ đó hạn chế xâm lấn tối đa mô răng thật. Bên cạnh đó, việc xử lý bề mặt răng sẽ giúp mặt dán sứ không bị dày, cộm kém thẩm mỹ. Phương pháp này ít xâm lấn đến răng thật nên hầu như khách hàng sẽ không cảm thấy đau và ê buốt, mà hoàn toàn thoải mái, nhẹ nhàng trong suốt quá trình điều trị.

6 ƯU ĐIỂM NỔI BẬT CỦA DÁN RĂNG SỨ VENEER ?

  • Tính thẩm mỹ cao: Màu sắc tự nhiên như răng thật và không đổi màu theo thời gian.
  • Cho phép thiết kế nụ cười mới rạng rỡ theo ý bạn: Giúp khắc phục các nhược điểm hiện tại của răng tự nhiên.
  • Tương hợp sinh học với mô nướu: Không gây biến chứng trong suốt quá trình sử dụng.
  • Độ bền cao: Thời gian sử dụng từ 15 – 20 năm và có thể sử dụng vĩnh viễn nếu chăm sóc và vệ sinh đúng cách.
  • Bảo tồn răng: KHÔNG mài răng hay chỉ mài cực mỏng ( 0.2 – 0.5 mm).

QUY TRÌNH DÁN RĂNG SỨ VENEER

Dán sứ Veneer chỉ mất khoảng 3 – 5 ngày với 2 lần hẹn là bạn đã hoàn thành quy trình dán sứ Veneer. Sau khi hoàn thành quá trình dán sứ Veneer, Bác sĩ sẽ đánh giá kiểm tra mức độ chịu lực của răng nhằm đảm bảo chức năng ăn nhai tốt và tính thẩm mỹ cao. Đồng thời, Bác sĩ sẽ hướng dẫn bạn cách vệ sinh răng miệng và chế độ ăn uống hợp lý để răng Veneer được duy trì màu sắc và sử dụng lâu dài.

Bước 1: Thăm khám và chụp phim X-Quang.

Bước 2: Lên kế hoạch điều trị.

Bước 3: Tạo hình cùi răng.

Bước 4: Lấy dấu răng gửi về phòng Labo tại nha khoa

Bước 5: Gắn răng sứ Veneer cố định.