Skip to content
  • nhakhoavanhanhlx@gmail.com   

  • Hotline: 088.888.1242
  • nhakhoavanhanhlx@gmail.com   

Nha Khoa Vạn Hạnh Long XuyênNha Khoa Vạn Hạnh Long Xuyên
  • Về Chúng Tôi
    • Về Vạn Hạnh Sài Gòn Long Xuyên
  • Dịch Vụ
    Cấy ghép Implant
    Thẩm Mỹ Răng Sứ
    Dán sứ veneer
    Niềng răng trong suốt
    Niềng Răng Mắc Cài
    Tẩy trắng răng
    Điều Trị Nha Chu
    Điều Trị Tủy Răng
    Nhổ răng
    Cạo Vôi Răng
    Trám răng
    Chụp Phim X-quang Răng
  • Bảng Giá
  • Kiến Thức Nha Khoa
  • Tin tức
  • Liên Hệ

KIẾN THỨC NHA KHOA

Trang Chủ | Kiến Thức

Hôi miệng: Nguyên nhân, tác hại và cách điều trị tận gốc

Sự im lặng khó nói thành lời Hôi miệng là một trong những vấn đề [...]

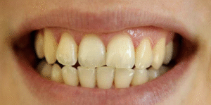
Răng vàng xỉn: Nguyên nhân, tác hại và cách khắc phục

Khi nụ cười “mất đi ánh sáng” Nụ cười vốn là “vũ khí mềm” giúp [...]

Răng lung lay – Cảnh báo nguy hiểm từ sức khỏe toàn thân

1. Răng lung lay có thật sự bình thường? Nhiều người trung niên bắt đầu [...]

Mất răng: Hậu quả nguy hiểm và giải pháp phục hình an toàn

Mất răng là tình trạng phổ biến ở người trưởng thành và trung niên. Nguyên [...]

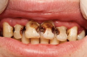
Sâu răng nhỏ gây ra hậu quả khó lường
Đừng xem nhẹ sâu răng nhỏ – Kẻ phá hoại âm thầm

Trong cuộc sống hằng ngày, chúng ta thường có xu hướng coi nhẹ những vấn [...]

Bệnh khô miệng ở người lớn tuổi
Bệnh khô miệng ở người lớn tuổi – Nguy cơ tiềm ẩn

Nhiều cô chú lớn tuổi ở Long Xuyên thường xuyên than phiền: miệng lúc nào [...]

Nghiến răng khi ngủ
Nghiến răng khi ngủ gây ra nhiều vấn đề

Bạn có bao giờ giật mình giữa đêm vì tiếng “ken két” phát ra từ [...]

Viêm tủy răng ảnh hưởng đến sức khỏe toàn thân

Đau răng là triệu chứng quen thuộc mà nhiều cô chú lớn tuổi ở Long [...]

    Tìm Kiếm

    Danh mục
    • Chưa phân loại (3)
    • Đánh Giá Khách Hàng (1)
    • Kiến Thức Nha Khoa (27)
    • Tin Tức (21)
    • Tuyển Dụng (1)

Địa chỉ: 18 Nguyễn Thị Minh Khai, Mỹ Long, Thành phố Long Xuyên, An Giang

Hotline: 088.888.1242

Email: nhakhoavanhanhlx@gmail.com

Thứ 2 ~ CN: 7h00 - 12h00 , 13h30 - 18h00

Giấy chứng nhận đăng ký kinh doanh: 0317779963 - Nơi cấp: Cục Cảnh Sát quản lý hành chính về trật tự xã hội - Giấy phép hoạt động khám bệnh, chữa bệnh số: 10287/HCM-GPHĐ do sở y tế Tp. Hồ Chí Minh.

Liên kết

Giới Thiệu
Dịch vụ
Bảng Giá
Liên hệ

Dịch vụ nổi bật

Nha Khoa Tổng Quát
Điều trị nha chu
Điều trị tủy răng
Trám răng
Tẩy trắng răng
Phục Hình Răng Sứ
Thẩm mỹ răng sứ
Dán sứ veneer
Cấy Ghép Implant
Chỉnh Nha/Niềng Răng
Chụp Phim X-quang Răng

Kết nối với chúng tôi

  • Về Chúng Tôi
    • Về Vạn Hạnh Sài Gòn Long Xuyên
  • Dịch Vụ
    • Cấy Ghép Implant
    • Thẩm Mỹ Răng Sứ
    • Dán Sứ Veneer
    • Niềng Răng Trong Suốt
    • Niềng Răng Mắc Cài
    • Tẩy Trắng Răng
    • Điều Trị Nha
    • Điều Trị Tủy Răng
    • Nhổ Răng
    • Cạo Vôi Răng
    • Trám Răng
    • Chụp Phim X-quang Răng
  • Bảng Giá
  • Kiến Thức Nha Khoa
  • Tin tức
  • Liên Hệ
Gọi ngay Đặt hẹn
CHAT NGAY
Chi Nhánh Bảng Giá
Fanpage
Zalo
Phone
.
.